Mädchen oder Junge SSW17
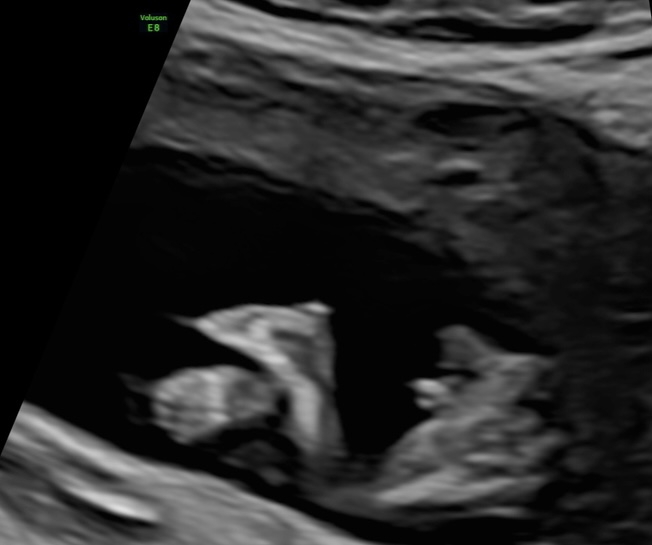
Hallo meine Lieben, waren heute beim Ultraschall SSW17
Das Geschlecht spielt bei uns keine Rolle, da wir bereits einen Jungen und ein Mädchen haben.
Aber aus reiner Neugier, was meint ihr anhand der Bilder, Mädchen oder Junge
Hallöchen, könnt ihr mir sagen, ob es ein Junge oder Mädchen wird? Ich bin da gerade bei 11+2, doch der FA wusste sofort das Geschlecht, aber wollte es noch nicht sagen…
@sabsie4517
Woran machst du das fest bzw. Worauf achtest du? Ich schaue mir das Bild stundenlang an und sterbe vor Neugier
Möchte das nämlich auch so gut deuten können…
Mein FA meint es wird ein Junge 14+1. Es sieht auch sehr offensichtlich aus, aber hat jemand schon die Erfahrung gemacht, dass es doch die Nabelschnur war und ein Mädchen ist? Foto habe ich angehängt.
Ich wünsche mir ein Mädchen, aber such wenn nicht freuen wir uns natürlich auf das Baby .
@natalie96 Ohhh herzlichen Glückwunsch zum dritten Wunder 🤩 Wir waren im Juni 2023 Thread zusammen (ich mit meinem 2. Kind) 😊 Ich bin jetzt schon seit 9 Monaten 3fach Mama 😅🫣
Also ich kann den Nub leider nicht wirklich erkennen. Hast du vielleicht noch 1-2 andere Bilder?
@Viennagirl87 Also wenn ich den Nub richtig identifiziert habe, dann würde ich auf Mädchen tippen.
@natalie96 Hat denn der Arzt gar nichts dazu gesagt? Meine Ärztin ist Pränataldiagnostikerin und konnte mir eigentlich immer schon anhand des NUBs das Geschlecht verraten 😄 Also wenn der Arzt eine Tendenz genannt hat, stehen die Chancen sehr hoch, dass es tatsächlich so ist.
Hast du ein Gefühl? Wenn’s stimmt, hättet ihr auch einen großen Bub und dann zwei Mädels oder?
@sabsie4517 nein ich habe gefragt aber wusste im Vorhinein schon von anderen dass sie sich im KH dazu ned äußern. Sagen auch beim OS nur wenn man es wirklich 100% sieht. Was bei meiner Tochter ned so war, da wussten wir es erst zur 3. Mkp.
Von den Symptomen her hät ich eher Mädl gesagt, Bauchgefühl is eher Junge. Also schwierig 🤣🤣
@natalie96 Na in ein paar Wochen wisst ihr dann Bescheid 😊 Hut ab vor dem knackigen Abstand. Ich hatte doch etwas mehr als 4 Jahre Abstand zwischen 1. und 3. 😅 Aber so anstrengend es auch ist genauso schön ist es 🥰
@sabsie4517 manches kommt so wie es kommt. Es wird schon irgendwie werden 🙈🙈🙈
Aber als die Kleine mobiler/aktiver wurde ist es deutlich besser geworden muss i sagen. Mal sehn wie es diesmal is 🤷♀️
ich hatte mein Ersttrimesterscreening (Ssw 12+3) kann man hier den Nub erkennen und dann vielleicht auch das Geschlecht?
Würde mich so über eine Antwort freuen.
Vielen lieben Dank
Ich würde Mädchen raten.
Ohh vielen lieben Dank für deine Antwort und, dass du dir extra deine Zeit genommen hast. 🥰
Siehst du wirklich eher ein Mädchen? Darf ich vielleicht fragen, warum du dazu tendierst? Entschuldigung aber ich bin ganz aufgeregt 🥰
Ich hab auch gedacht ich sehe einen Nub aber eher einen Jungen, weil er so gestapelt aussieht?
Ich freue mich so sehr über beides, aber ein Mädchen wäre einfach noch ein Traum nach meinen Goldjungs 🥰.
Guten Morgen,
ich bin derzeit in der 13. SSW und hatte letzte Woche einen Ultraschall. Was meint ihr, kann man das Geschlecht erkennen? Der Arzt hatte eine klare Tendenz die er uns leider bisher nicht mitgeteilt hat. Ich kann leider nichts wirklich erkennen. Hier die Bilder aus 12+3. Vielen Dank fürs Miträtseln.
Hey!1 Frage - 100 Antworten!
Im BabyForum kannst du dich einfach, sicher und anonym mit (werdenden) Mamas und Papas in deiner Nähe austauschen. Registriere dich jetzt, um alle Bereiche zu sehen und mitzuplaudern:Kostenlos registrieren
Hey & Hallo im Forum!
Neu hier? Dann tritt der BabyForum-Community bei um alle Inhalte zu sehen und (werdende) Eltern kennenzulernen! Hier lang...
Kommentare
494
2
Hallo Zusammen. Das sind meine Bilder von der SSW13. Was denkt ihr?
1,659
300
1,659
1
300
3
300
2
Hallo meine Lieben, waren heute beim Ultraschall SSW17
Das Geschlecht spielt bei uns keine Rolle, da wir bereits einen Jungen und ein Mädchen haben.
Aber aus reiner Neugier, was meint ihr anhand der Bilder, Mädchen oder Junge
300
3
2,561
3
Woran machst du das fest bzw. Worauf achtest du? Ich schaue mir das Bild stundenlang an und sterbe vor Neugier
Möchte das nämlich auch so gut deuten können…
2,561
3
387
0
Mein FA meint es wird ein Junge 14+1. Es sieht auch sehr offensichtlich aus, aber hat jemand schon die Erfahrung gemacht, dass es doch die Nabelschnur war und ein Mädchen ist? Foto habe ich angehängt.
Ich wünsche mir ein Mädchen, aber such wenn nicht freuen wir uns natürlich auf das Baby .
LG
486
1
Hallo Ihr Lieben
Kann jemand hier erkennen, was es werden könnte?
Ganz liebe Grüße
486
76
2
Was würdet ihr sagen? Mädchen oder Junge 😊
1
Hallo ihr Lieben!
Kann man hier schon etwas erkennen? Bin einfach zu gespannt
Liebe Grüße
2,085
Laut Nub Theorie (Bild ist aus der 13. Woche) was denkt ihr? Ist es Team 💕 oder 🩵?
1,002
Kann man hier mit der Nub Theorie was erkennen? Ssw 12+5
2,561
Also ich kann den Nub leider nicht wirklich erkennen. Hast du vielleicht noch 1-2 andere Bilder?
@Viennagirl87 Also wenn ich den Nub richtig identifiziert habe, dann würde ich auf Mädchen tippen.
1,002
Hab das Bild noch, aber dachte dass man da weniger erkennt 🙈🤷♀️
2,561
1,002
Ja beide Fotos vom Combined Test 🙈
2,561
Hast du ein Gefühl? Wenn’s stimmt, hättet ihr auch einen großen Bub und dann zwei Mädels oder?
1,002
Von den Symptomen her hät ich eher Mädl gesagt, Bauchgefühl is eher Junge. Also schwierig 🤣🤣
Sollte es so sein, dann ja 😉👍🏻
2,561
2,085
1,002
Aber als die Kleine mobiler/aktiver wurde ist es deutlich besser geworden muss i sagen. Mal sehn wie es diesmal is 🤷♀️
256
Hallo ihr lieben, kann man was aus diesem Bild erkennen, nub theorie 🤔 bin in der 11ssw
2
Hallo Ihr, lieben Ultraschal ist von SSW12+6 kann jemand erkennen ob ein Bub oder ein Mädel
3
ich hatte mein Ersttrimesterscreening (Ssw 12+3) kann man hier den Nub erkennen und dann vielleicht auch das Geschlecht?
Würde mich so über eine Antwort freuen.
Vielen lieben Dank
2
Ich würde Mädchen raten.
3
Siehst du wirklich eher ein Mädchen? Darf ich vielleicht fragen, warum du dazu tendierst? Entschuldigung aber ich bin ganz aufgeregt 🥰
Ich hab auch gedacht ich sehe einen Nub aber eher einen Jungen, weil er so gestapelt aussieht?
Ich freue mich so sehr über beides, aber ein Mädchen wäre einfach noch ein Traum nach meinen Goldjungs 🥰.
2
ich bin derzeit in der 13. SSW und hatte letzte Woche einen Ultraschall. Was meint ihr, kann man das Geschlecht erkennen? Der Arzt hatte eine klare Tendenz die er uns leider bisher nicht mitgeteilt hat. Ich kann leider nichts wirklich erkennen. Hier die Bilder aus 12+3. Vielen Dank fürs Miträtseln.