Hi ich wollte mal nach eurer Meinung fragen
Ich war hier 12+2 der Frauenarzt wollte nichts zum Geschlecht sagen aber ich tendiere eher zum Jungen oder sah es bei einem Mädchen auch so aus in der 13ten Woche?
Liebe Grüße
Hallo ihr lieben, ich bin etwas verzweifelt und habe die letzte Woche jedes eurer Bilder angeschaut und tausend Kommentare gelesen und alles im Internet raus gesucht was ich über Geschlechtsbestimmung finden konnte.
Die Sache ist die, dass ich zum zweiten Mal schwanger bin. Unser Sohn ist jetzt 3 Jahre alt. Also haben wir uns an ein Geschwisterchen gewagt. Und mein großer Traum ist eine Schwester. Ich wollte schon immer mindestens ein Mädchen haben, aber auch maximal zwei Kinder. Somit ist diese Schwangerschaft meine letzte.
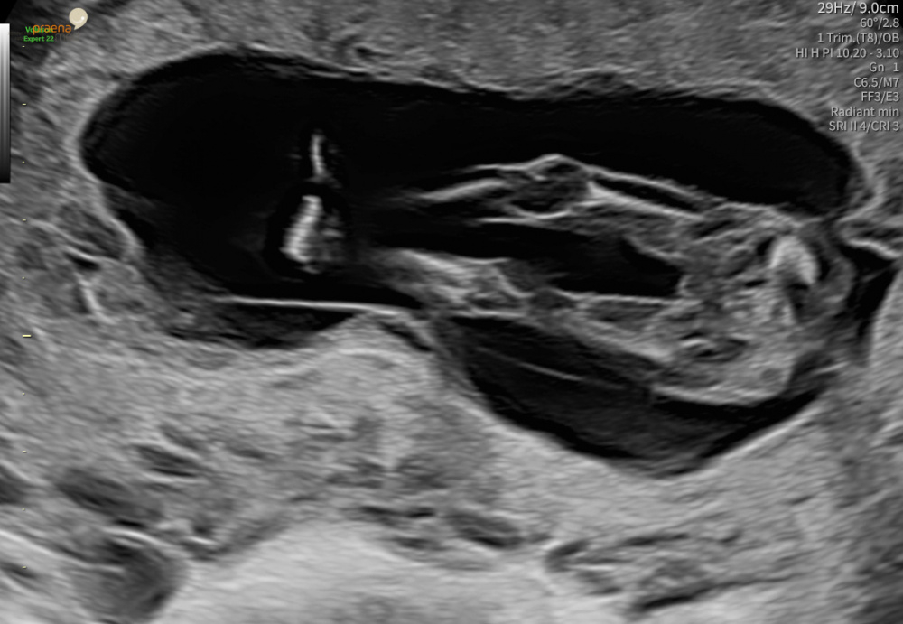
Nun war ich letzten Montag beim Ersttrimesterscreening. Da war ich 13+1. Die Ärztin meinte am Schluss sie hätte etwas gesehen. Ein Zipfel, ziemlich schmal und spitz. Bei meinem Sohn sah das ganz anders aus. Dennoch sagte sie Tendenz Junge. Ich weiß man soll sich über ein gesundes Kind freuen. Ich weiß dass ich das Kind liebe auch wenn es wieder ein Junge wird. Aber ich bin so traurig und kann seit dem an nichts anderes denken. Nun habe ich viel gelesen und auch hier immer wieder gehört, dass sich Ärzte irren, dass dieser Zipfel auch bei Mädchen vorkommt, usw. Wir haben auch den nipt gemacht. Da steht das Geschlecht aber nicht drin weil das Ergebnis zu früh war(muss ja mindestens Ende ssw 14 sein). Das heißt ganz sicher weiß ich es immer noch nicht und wollte nun mal eure erfahrenen Augen drauf schauen lassen... Was seht ihr auf den Bildern? Das eine ist von 6+1,die anderen vom Screening letzte Woche. Was ist eure Einschätzung? Kann mir jemand Hoffnung machen, dass die Tendenz falsch ist? Hatte jemand schon mal eine falsche Tendenz in der Woche? Bitte helft mir!
Kopf- und Kinnform schaut für mich schon eher nach einem Bub aus.
Ich versteh dich aber - hab mir auch voll ein Mädchen gewünscht und hatte ur das schlechte Gewissen weil ich keinen 2. Bub wollte 🙊.
Hab mir das Geschlecht auch gar nicht verraten lassen - weil ich ehrlicherweise enttäuscht gewesen wäre. Und wenns mal da sind, dachte ich mir, ist’s dann eh egal.
Kopf- und Kinnform schaut für mich schon eher nach einem Bub aus.
Ich versteh dich aber - hab mir auch voll ein Mädchen gewünscht und hatte ur das schlechte Gewissen weil ich keinen 2. Bub wollte 🙊.
Hab mir das Geschlecht auch gar nicht verraten lassen - weil ich ehrlicherweise enttäuscht gewesen wäre. Und wenns mal da sind, dachte ich mir, ist’s dann eh egal.
Danke für deine Antwort. Kopf und Kinnform? Gibt's da auch eine Theorie dazu? Ich finde die sehen bei allen Bildern die ich bisher gesehen habe(auch den Mädchen Bildern) recht gleich aus... 🤔
Und hast das geklappt mit dem wenn es da ist, ist es egal? Das hoffe ich ja auch... Aber momentan fühlt es sich fast nicht so an.
Hat sonst noch jemand eine Einschätzung?
@Mondmama921 Also beim Nub ist immer ein Zipfel zu sehen. Das ist ja eben der Nub, sowohl bei Mädchen als auch Bub. Allerdings kann ich die auf deinen Ultraschallbildern nicht ausmachen, um da eine Tendenz sagen zu können. Ich sehe auf dem letzten Bild zwar etwas, was der Nub sein könnte, aber dafür ist’s mir etwas zu ungenau. Hat die Ärztin denn angegeben, wie sicher sie sich ist?
Ansonsten kannst du wohl eh nicht viel machen als abwarten und Tee trinken 🙈Ich verstehe deinen Wunsch nach einem Mädchen. Ich habe auch einen älteren Bub und nun im Nachhinein (nachdem er eine kleine Schwester bekommen hat) tuts mir für ihn leid, weil mit einem Bruder sicher auch total schön geworden wäre.
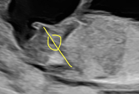
Bei uns sieht es so aus und ich bin wirklich über jeden Tipp dankbar. Was denkt ihr? Leider wollte sich das Mäuschen nicht drehen also schaut ihr sozusagen von oben auf das Baby. Team 🩷 oder Team 🩵?
@noka_25 Ich bin mir nicht sicher, ob ich den Nub auf dem letzten Bild richtig ausmachen kann. Falls das Zipfelchen aber der Nub ist, dann schaut’s für mich auch stark nach Bub aus.
@sanaao Also für mich wirkt der Nub (sofern er es ist) bissi aufgerichtet, was ja eher für einen Buben sprechen würde, aber ja ein größeres, genaueres Bild würde vielleicht mehr Aufschluss geben ;-)
Ich hätt bei @sanaao auch auf einen Buben getippt. Sieht aus als wär auf dem Nub wie verschwommen noch was drauf, das deutet oft auch auf Buben hin. Als wär da noch ein verstecktes Zipferl …
Hallo ihr Lieben,
ich bin neu hier aber habe die letzten Wochen bei euch still mitgelesen 🙈
Ich bin 13+2 und wollte fragen ob jemand von euch hier was erkennen könnte falls was zu erkennen gibt 😂
Liebe Leute, ich hab hier ein Bild von der 10 SSw und glaube zu vermuten, dass es von unten geknipst wurde und man die Beine und was dazwischen sieht 😛😝 hatte jemand so ein ähnliches Bild? 10. Woche ist doch wirklich noch zu bald für das Geschlecht wahrscheinlich 😚😚
@Carii ist zu früh, um die Zeit haben beide Geschlechter noch ein Zipfelchen abstehen. Demnächst könnte man dann die Nub-Theorie anwenden aber dazu braucht man ein schönes Foto von der Seite des Babys (gerne googlen).
@Carii Ich tue mir bissi schwer, den Nub ausfindig zu machen. Wenn’s aber das ist was ich vermute, dann würde ich auf Mädchen tippen 😊 Hast du noch weitere Bilder? Die Perspektive passt aber gut für den Nub ;-)
@Carii Ich meinte, dass das von mir gelb markierte vermutlich der NUB ist 😅 Also direkt der weiße, etwas dickere Strich in der Mitte der gelben Markierung. Würde mich freuen, wenn du es dann auflöst oder noch jemand anderer seine Meinung dazu abgeben will ☺️
Aso du meinst vermutlich den Schatten daneben? Ich denke, dass da hinter dem vermeintlichen Nub wohl das Bein liegt, wodurch ich mir nicht sicher bin, obs tatsächlich der Nub ist.
@sabsie4517 ja genau, die gelben Stellen links und rechts vom Foto 😬 sind schlecht abfotografiert.
Ich werds gerne in einem Monat auflösen, wenn es dann herzeigewillig ist. Laut Internet Nub Bildern hätte ich jetzt auch mal auf Mädchen getippt, bleibt spannend 🤭
Hallöchen!
Wir erwarten unser 2. Mäuschen und wie ihr eich evtl. vorstellen könnt, sind wir super gespannt ob es ein Mädchen oder Junge wird. Ich schicke euch zwei US Bilder mit und freue mich mega wenn ich eure Einschätzung abgebt.
@BebisMama hallo! Das sieht für mich wie ein kleiner Bub aus 🥰🥰 ich glaube, bei dir auch die Blase vom Baby erkennen zu können, würde dann auch wieder auf Bub hinweisen.
@BebisMama Bei dir sieht man den Nub ganz schön. Finde es etwas schwieriger, würde aber zum Bub tendieren. Vor allem das Ende hat bei meinen zwei Mädels ganz anders ausgeschaut 😄
@BebisMama hallo! Das sieht für mich wie ein kleiner Bub aus 🥰🥰 ich glaube, bei dir auch die Blase vom Baby erkennen zu können, würde dann auch wieder auf Bub hinweisen.
@BebisMama Bei dir sieht man den Nub ganz schön. Finde es etwas schwieriger, würde aber zum Bub tendieren. Vor allem das Ende hat bei meinen zwei Mädels ganz anders ausgeschaut 😄
Das ist so witzig, weil die FA auf ein Mädel tippt und auch die FA bei der Pränatal Untersuchung meinte ein Mädchen. 🙈
Wieso die Blase?
Und dieser Hügel mit dem dunklen Strich ist vermutlich der Popo oder? Sieht man da keine berphmten drei Striche? Nachdem mir beide FA gesagt haben dass es ein Mädchen wird, bin ich auf der Suche nach Hinweisen wie sie auf das kommen hahaha
Die FA bei der Peänatal Untersuchung meinte übrigens auch aufgrund des Nubs denkt sie dass es ein Mödchen wird. Meine Erklärung für ihre Vermutung sieht so aus - könnte das stimmen?
Ich hätte geglaubt, das sei die Blase, aber ich bin alles andere als eine pränataldiagnostikerin 😂😂 das wird schon stimmen, wenn die Ärzte dir das schon so bald sagen können. ☺️☺️
@BebisMama Also das Bild von unten ist so früh ja noch nicht relevant. Ich bin mir auch nicht sicher. Meine Mädels waren doch etwas grader und das Ende eben so zweigeteilt. Außerdem ist das ein ganz kurzer Ausschnitt des US. Ich habe weiter oben auch zwei Bilder von ein und derselben Untersuchung gepostet und da schaut’s einmal vom Winkel wie ein Bub aus und das andere Mal wie ein Mädchen. Rein vom Winkel ist’s knapp, könnte aber durchaus auch ein Mädchen sein.
@BebisMama Also das Bild von unten ist so früh ja noch nicht relevant. Ich bin mir auch nicht sicher. Meine Mädels waren doch etwas grader und das Ende eben so zweigeteilt. Außerdem ist das ein ganz kurzer Ausschnitt des US. Ich habe weiter oben auch zwei Bilder von ein und derselben Untersuchung gepostet und da schaut’s einmal vom Winkel wie ein Bub aus und das andere Mal wie ein Mädchen. Rein vom Winkel ist’s knapp, könnte aber durchaus auch ein Mädchen sein.
Ich hätte geglaubt, das sei die Blase, aber ich bin alles andere als eine pränataldiagnostikerin 😂😂 das wird schon stimmen, wenn die Ärzte dir das schon so bald sagen können. ☺️☺️
Vielen lieben Dank für eure Einschätzungen. 😊
Auch wenn ich mich bemühe es nicht zu tun, verfalle ich in Tagträumerei wie mein Älterer mit seiner Schwester spielt. Mir gefällt die Vorstellung inzwischen echt gut, und ich hab ein bisschen Angst, dass ich zu enttäuscht bin falls sich die FA-Einschätzung doch ändern sollte. Vllt wäre es besser gewesen sie hätten nichts gesagt..
Wie dem auch sei, ich geb euch Mitte Jänner Bescheid sobald ich die nächste Untersuchung hatte. 😊😊
@BebisMama ja, rein so vom Winkel würds nach Mädchen ausschauen aber wenn ich das als Blase sehe so wie @Carii dann wärs ein Bub. Also spannend. 🫣 na und von der popo Ansicht würde ich Mädchen sagen, das Bild hab ich mir vorhin gar nicht angeschaut.
Hey!1 Frage - 100 Antworten!
Im BabyForum kannst du dich einfach, sicher und anonym mit (werdenden) Mamas und Papas in deiner Nähe austauschen. Registriere dich jetzt, um alle Bereiche zu sehen und mitzuplaudern:Kostenlos registrieren
Hey & Hallo im Forum!
Neu hier? Dann tritt der BabyForum-Community bei um alle Inhalte zu sehen und (werdende) Eltern kennenzulernen! Hier lang...
Kommentare
2,138
2,493
2,493
1
Ich war hier 12+2 der Frauenarzt wollte nichts zum Geschlecht sagen aber ich tendiere eher zum Jungen oder sah es bei einem Mädchen auch so aus in der 13ten Woche?
Liebe Grüße
2
Hallo ihr lieben, ich bin etwas verzweifelt und habe die letzte Woche jedes eurer Bilder angeschaut und tausend Kommentare gelesen und alles im Internet raus gesucht was ich über Geschlechtsbestimmung finden konnte.
Die Sache ist die, dass ich zum zweiten Mal schwanger bin. Unser Sohn ist jetzt 3 Jahre alt. Also haben wir uns an ein Geschwisterchen gewagt. Und mein großer Traum ist eine Schwester. Ich wollte schon immer mindestens ein Mädchen haben, aber auch maximal zwei Kinder. Somit ist diese Schwangerschaft meine letzte.
Nun war ich letzten Montag beim Ersttrimesterscreening. Da war ich 13+1. Die Ärztin meinte am Schluss sie hätte etwas gesehen. Ein Zipfel, ziemlich schmal und spitz. Bei meinem Sohn sah das ganz anders aus. Dennoch sagte sie Tendenz Junge. Ich weiß man soll sich über ein gesundes Kind freuen. Ich weiß dass ich das Kind liebe auch wenn es wieder ein Junge wird. Aber ich bin so traurig und kann seit dem an nichts anderes denken. Nun habe ich viel gelesen und auch hier immer wieder gehört, dass sich Ärzte irren, dass dieser Zipfel auch bei Mädchen vorkommt, usw. Wir haben auch den nipt gemacht. Da steht das Geschlecht aber nicht drin weil das Ergebnis zu früh war(muss ja mindestens Ende ssw 14 sein). Das heißt ganz sicher weiß ich es immer noch nicht und wollte nun mal eure erfahrenen Augen drauf schauen lassen... Was seht ihr auf den Bildern? Das eine ist von 6+1,die anderen vom Screening letzte Woche. Was ist eure Einschätzung? Kann mir jemand Hoffnung machen, dass die Tendenz falsch ist? Hatte jemand schon mal eine falsche Tendenz in der Woche? Bitte helft mir!
Viele Grüße
2,274
Ich versteh dich aber - hab mir auch voll ein Mädchen gewünscht und hatte ur das schlechte Gewissen weil ich keinen 2. Bub wollte 🙊.
Hab mir das Geschlecht auch gar nicht verraten lassen - weil ich ehrlicherweise enttäuscht gewesen wäre. Und wenns mal da sind, dachte ich mir, ist’s dann eh egal.
2
Danke für deine Antwort. Kopf und Kinnform? Gibt's da auch eine Theorie dazu? Ich finde die sehen bei allen Bildern die ich bisher gesehen habe(auch den Mädchen Bildern) recht gleich aus... 🤔
Und hast das geklappt mit dem wenn es da ist, ist es egal? Das hoffe ich ja auch... Aber momentan fühlt es sich fast nicht so an.
Hat sonst noch jemand eine Einschätzung?
2,493
Ansonsten kannst du wohl eh nicht viel machen als abwarten und Tee trinken 🙈Ich verstehe deinen Wunsch nach einem Mädchen. Ich habe auch einen älteren Bub und nun im Nachhinein (nachdem er eine kleine Schwester bekommen hat) tuts mir für ihn leid, weil mit einem Bruder sicher auch total schön geworden wäre.
2,274
2
Ich hab hier auch mal drei Bilder zum Raten. Dort war ich 12+4☺️
2,493
2
Dort ist leider nichts erkennbar bezüglich eines Nub‘s
2,493
4
Bei uns sieht es so aus und ich bin wirklich über jeden Tipp dankbar. Was denkt ihr? Leider wollte sich das Mäuschen nicht drehen also schaut ihr sozusagen von oben auf das Baby. Team 🩷 oder Team 🩵?
1
könnte man anhand der NUB Theorie bei den Bilder etwas erkennen?
Die Bilder kommen von der 14 Woche (13+0) 🧡
4
Das sieht nach Junge aus
2,493
2,493
1
12+2 ssw
2
426
2
426
aber
2,493
2,138
1
Hallo ihr Lieben,
ich bin neu hier aber habe die letzten Wochen bei euch still mitgelesen 🙈
Ich bin 13+2 und wollte fragen ob jemand von euch hier was erkennen könnte falls was zu erkennen gibt 😂
483
2,138
483
483
Hallo ihr Lieben, hier ist nun das aktuelle Knopfbild. Kann man damit was anfangen? 😝 Danke vorab für eure Antworten 😘
2,493
2,493
483
2,493
2,493
483
Ich werds gerne in einem Monat auflösen, wenn es dann herzeigewillig ist. Laut Internet Nub Bildern hätte ich jetzt auch mal auf Mädchen getippt, bleibt spannend 🤭
483
Das hier hätte ich noch gefunden. Aber es wirkt auch sehr verschwommen 😛
5
Wir erwarten unser 2. Mäuschen und wie ihr eich evtl. vorstellen könnt, sind wir super gespannt ob es ein Mädchen oder Junge wird. Ich schicke euch zwei US Bilder mit und freue mich mega wenn ich eure Einschätzung abgebt.
Der US ist von 13+4.
Danke euch ❤️
483
2,493
@BebisMama Bei dir sieht man den Nub ganz schön. Finde es etwas schwieriger, würde aber zum Bub tendieren. Vor allem das Ende hat bei meinen zwei Mädels ganz anders ausgeschaut 😄
483
491
5
Das ist so witzig, weil die FA auf ein Mädel tippt und auch die FA bei der Pränatal Untersuchung meinte ein Mädchen. 🙈
Wieso die Blase?
Und dieser Hügel mit dem dunklen Strich ist vermutlich der Popo oder? Sieht man da keine berphmten drei Striche? Nachdem mir beide FA gesagt haben dass es ein Mädchen wird, bin ich auf der Suche nach Hinweisen wie sie auf das kommen hahaha
5
5
Und hier bilde ich mir die drei Striche ein 😅🙈 Aber Bub-Anzeichen sehe ich gar keine irgendwie. Würde mich echt interessieren wie ihr drauf kommt 😁
483
Ich hätte geglaubt, das sei die Blase, aber ich bin alles andere als eine pränataldiagnostikerin 😂😂 das wird schon stimmen, wenn die Ärzte dir das schon so bald sagen können. ☺️☺️
2,493
5
Vielen lieben Dank für eure Einschätzungen. 😊
Auch wenn ich mich bemühe es nicht zu tun, verfalle ich in Tagträumerei wie mein Älterer mit seiner Schwester spielt. Mir gefällt die Vorstellung inzwischen echt gut, und ich hab ein bisschen Angst, dass ich zu enttäuscht bin falls sich die FA-Einschätzung doch ändern sollte. Vllt wäre es besser gewesen sie hätten nichts gesagt..
Wie dem auch sei, ich geb euch Mitte Jänner Bescheid sobald ich die nächste Untersuchung hatte. 😊😊
491
2
kann jemand was erkennen? Heute 17+2 🙂